Dans la tête d’Alex Honnold : que se passe-t-il vraiment dans son cerveau quand il grimpe en solo ?

© Crossley
En s’élançant récemment à l’assaut de la tour Taipei 101 haute de 508 mètres, Alex Honnold a une nouvelle fois repoussé les limites de ce que l’on croyait possible en solo intégral. Suspendu au-dessus du vide, sans corde, sans système de protection, il a grimpé avec le même calme déroutant, qui fait sa signature depuis plus de quinze ans. À chaque nouvel exploit, la même question revient, lancinante : comment est-ce possible ? Qu’est-ce qui se passe, exactement, dans la tête d’Alex Honnold quand la moindre petite zipette de pied serait fatal ?
Cette question, des scientifiques* se la sont posée bien avant Taipei. Il y a quelques années, une équipe de neuroscientifiques a tenté d’y répondre en observant directement… son cerveau. À une époque où la prise de risque est souvent associée à l’inconscience ou à l’adrénaline pure, Honnold semble évoluer dans un registre totalement différent, presque clinique, où chaque geste paraît maîtrisé, anticipé, accepté. Alors comment est-ce possible ? Enquête !
Honnold, un grimpeur pas comme les autres… jusque dans sa biologie !
Alex Honnold n’est pas seulement le soloïste le plus célèbre de l’Histoire de l’escalade. Il est devenu un vrai cas d’étude. Car là où la plupart d’entre nous ressentent un vertige immédiat, une montée d’adrénaline incontrôlable ou une peur paralysante, Honnold décrit souvent ses ascensions comme… normales. « Un peu angoissante parfois », oui. Mais jamais incontrôlables. Une perception radicalement différente du danger, qui interroge autant qu’elle fascine, y compris au sein de la communauté scientifique.
Intriguée par cette apparente absence de panique, la neuroscientifique américaine Jane Joseph décide alors de le soumettre à une série de tests en imagerie cérébrale (IRM fonctionnelle). L’objectif : observer l’activité de son amygdale, une petite structure en forme d’amande nichée au cœur du cerveau, connue pour jouer un rôle central dans la détection du danger et la réponse à la peur. Allongé dans un scanner, Honnold est exposé à des centaines d’images conçues pour provoquer une réaction émotionnelle forte : scènes violentes, images choquantes, situations à forte charge affective. Chez la quasi-totalité des sujets testés jusque-là, l’amygdale s’active immédiatement. Chez Honnold ? Rien.

Le technicien James Purl et la neuroscientifique Jane E. Joseph ont placé Honnold dans un appareil d’IRM afin de mesurer son niveau de peur © NGC Network International
Les images défilent, mais son amygdale reste étonnamment silencieuse. Là où celle d’un autre grimpeur, pourtant habitué à l’exposition, s’illumine clairement, celle de Honnold demeure quasiment inactive. Son cerveau perçoit l’information… mais ne déclenche pas de réponse de menace. Un résultat si atypique qu’il a conduit les chercheurs à vérifier à plusieurs reprises les données, tant elles sortaient des standards habituels.
Ainsi, pour les chercheurs, le constat est clair : Alex Honnold ne traite pas le danger comme la majorité des êtres humains.
Une façon de vivre la peur autrement…
Attention toutefois à une idée reçue : Honnold n’est pas « sans peur ». Lui-même l’a souvent répété. Lors de certains passages exposés, comme la mythique “Thank God Ledge” sur Half Dome, il reconnaît avoir ressenti une tension réelle. La différence est ailleurs.
Chez lui, la peur existe, mais elle reste contenue, canalisée, presque fonctionnelle. Elle ne l’envahit pas. Elle ne déborde pas sur la motricité, la prise de décision ou la concentration. Son cortex préfrontal (la zone du cerveau impliquée dans le contrôle, l’anticipation et la planification) semble capable de garder la main, même en situation extrême. Autrement dit : quand le cerveau de beaucoup d’entre nous crie « danger !!! », celui d’Honnold analyse, évalue… et continue.

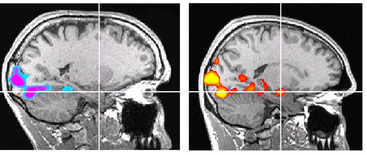
Absence de peur : les scanners comparent le cerveau de Honnold (à gauche) à celui d’un sujet témoin (à droite), un grimpeur d’âge similaire. Les repères indiquent l’amygdale. Alors que les deux grimpeurs regardent les mêmes images stimulantes, l’amygdale du sujet témoin s’illumine, tandis que celle de Honnold reste inerte, ne montrant aucune activité © Jane Joseph
Cette particularité n’est pas seulement innée. Les scientifiques sont formels : le cerveau se façonne avec l’expérience. Depuis ses premières ascensions en solo, Honnold a répété les mêmes processus encore et encore : préparation méticuleuse, répétition des mouvements, visualisation précise de chaque séquence, anticipation de tous les scénarios possibles… Y compris les plus négatifs, qu’il prend le temps d’accepter mentalement avant même de quitter le sol.
En neurosciences, on appelle cela la reconsolidation des souvenirs : à force d’exposer le cerveau à une situation perçue comme dangereuse, mais maîtrisée avec succès, la peur associée s’atténue. Le cerveau apprend que la situation, bien que risquée, est « gérable ». Chez Honnold, ce mécanisme a été poussé à un niveau extrême.

Alex Honnold lors de son solo du gratte ciel Taipei 101, diffusé en direct sur Netflix © Coll. Honnold
Le goût du risque… sans l’impulsivité
Autre point clé : Alex Honnold est ce que les chercheurs appellent un « chercheur de super sensations ». Il recherche des expériences intenses, mais avec un niveau de contrôle exceptionnel. Contrairement à d’autres profils attirés par le danger (dans les sports mécaniques, les jeux d’argent ou les conduites addictives), Honnold associe cette recherche de sensations à une discipline rigoureuse, presque ascétique. Pas d’alcool, pas de drogues, peu de distractions. Tout est orienté vers la performance et la maîtrise. C’est probablement cette combinaison rare d’appétence pour l’exposition + contrôle mental extrême qui rend ses solos possibles.
Vu sous cet angle, le solo de la tour Taipei 101 n’est pas un coup de folie. Il s’inscrit dans une continuité. Même précision chirurgicale que sur El Capitan ou Half Dome, même hauteur vertigineuse, même risque… simplement transposée sur une façade de verre et d’acier. Là où le commun des mortels verrait une situation totalement hors norme, le cerveau d’Honnold reconnaît un terrain déjà connu : exposition, mouvements simples, engagement total.

Honnold explique qu’il a commencé à grimper en solo parce qu’il était « trop timide pour aller voir des inconnus sur une falaise et leur demander s’ils voulaient faire équipe avec lui » © Coll. Honnold
Un cerveau hors norme… mais pas invincible
Les chercheurs restent toutefois prudents. Cette faible réactivité à la peur peut aussi comporter des risques : sous-estimer certaines situations, repousser toujours plus loin le curseur, chercher des stimulations toujours plus fortes.
Honnold lui-même en est conscient. Et c’est peut-être là, paradoxalement, que réside sa plus grande force : savoir qu’il doit se méfier de son propre calme…
*Les éléments scientifiques évoqués dans cet article sont issus d’une enquête approfondie publiée en 2016 sur les travaux de neuroscientifiques ayant étudié l’activité cérébrale d’Alex Honnold lors de tests en IRM.